Vestibular Schwannoma
Acoustic Neuroma
About Vestibular Schwannomas
Vestibular schwannomas (VS), historically known as acoustic neuromas, are benign neoplasms arising from Schwann cells surrounding the vestibular branch of cranial nerve (CN) VIII. An overgrowth of Schwann cells can lead to the impairment of CN VIII, CN VII (facial nerve), and CN V (trigeminal nerve) function. As a result, patients with VS may present with or develop a variety of symptoms including but not limited to tinnitus, disequilibrium, trigeminal neuropathy, vertigo, progressive hearing loss, and headache.
Diagnosis of VS often follows a patient presenting with otological or neurological symptoms. Pure tone audiometry, digital subtraction angiography, otoscopy, CT scanning, and MRI imaging can be used to investigate the presence of a schwannoma.
To date, treatment of VS is driven by mass effect prevention. For patients with fewer symptoms and smaller lesions, a conservative approach consists of watching waiting. For patients with severe symptoms or larger overgrown lesions, surgical resection is indicated. Radiotherapy may also be used as an adjuvant therapy in cases of subtotal resection or to minimize recurrence. VS can present as cystic or solid lesions, with the former growing more rapidly. For these patients, stereotactic radiosurgery may effectively control these tumors.
Our lab focuses on understanding and exploring treatment and outcomes for VS patients. We evaluate different radiotherapy modalities, surgical approaches, and variability in neurologic preservation based on a multitude of treatment approaches. To date, our work has examined hearing preservation following radiotherapy and different surgical approaches, patient outcomes following planned subtotal resection and adjuvant radiotherapy, and the use of preoperative imaging to better preserve facial nerve function.
Images

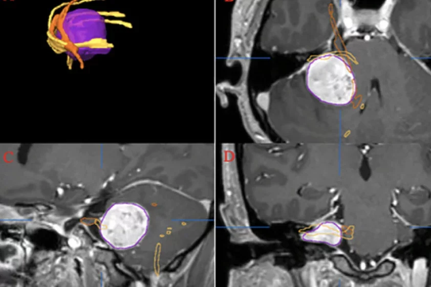
Ung, N. et al. Accuracy and outcomes of diffusion sensor imaging tractography in resection for vestibular schwannomma for facial nerve preservation. Journal of the neurological sciences. 430 (2021) 120006

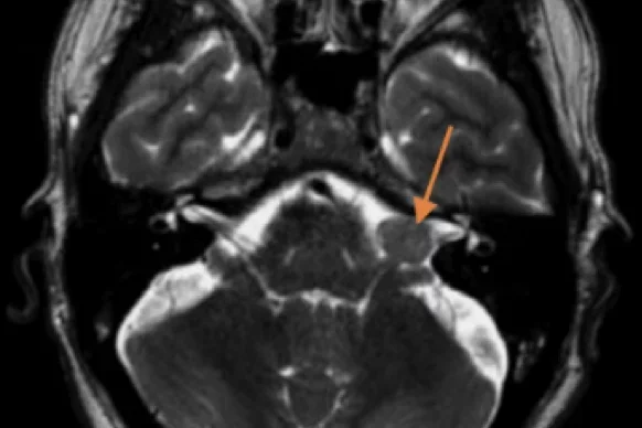
MVI Measured on axial T2-weighted MR images using the ITK-SNAP software.
Sheppard, J. et al. Neurological ectopia of the vestibular nerve masquerading as a vestibular schwannomma: a case report. neuropathology 38.4 (2018): 438-442